Hull i tennene, også kalt karies, er en sykdomsprosess som oppstår når bakterier i belegget på tennene bryter ned sukker fra mat og drikke til syrer. Disse syrene løser gradvis opp mineralene i tannemaljen. Hvis syreangrepene kommer ofte nok og lenge nok, rekker ikke tannen å reparere seg selv mellom hver gang, og da kan det utvikle seg fra tidlige skader til faktiske hull. Karies er svært vanlig globalt, men det er også en av tannsykdommene det er mest mulig å forebygge.
Det viktige å forstå er at karies ikke oppstår over natten. Prosessen går som regel gradvis. Derfor er tidlig oppdagelse viktig. I den første fasen kan skaden ofte stanses eller reverseres uten boring, mens større hull som har brutt gjennom emaljen vanligvis må behandles med fylling. Hvis karies får utvikle seg videre inn mot nerven i tannen, kan det føre til tannverk, infeksjon og i noen tilfeller behov for rotfylling eller trekking.
Hva er karies?
Karies er det faglige navnet på hull i tennene. Helsenorge beskriver karies som en tilstand der bakterier på tannoverflaten omdanner sukker til syre, og at denne syren bryter ned tannvevet. Det folkelige uttrykket «hull i tennene» brukes gjerne når skaden har utviklet seg så langt at tannoverflaten faktisk har brutt sammen, men sykdomsprosessen starter før det.
Det betyr at karies egentlig bør forstås som en balanse som har tipppet feil vei. Tennene utsettes naturlig for syre gjennom dagen, men spytt og fluor bidrar til å reparere og beskytte tannoverflaten. Når sukkerinntak, plakk og utilstrekkelig fluorbeskyttelse får overtaket, begynner mineralene å trekkes ut av emaljen raskere enn de bygges opp igjen.

Hvordan oppstår hull i tennene?
Karies utvikler seg vanligvis i flere trinn. Først dannes det et bakteriebelegg på tennene, ofte kalt plakk. Når du spiser eller drikker noe som inneholder sukker, bruker bakteriene dette som næring og produserer syre. Hvis dette skjer ofte i løpet av dagen, holdes syreproduksjonen i gang over lengre tid, og risikoen for karies øker. Helsenorge understreker nettopp at hyppig småspising og hyppig sukkerinntak øker risikoen fordi syreangrepene varer lenger.
Neste trinn er et tidlig mineraltap i emaljen. Dette kan vise seg som matte eller hvite flekker på tannen. På dette stadiet er det ikke nødvendigvis snakk om et faktisk hull ennå. Tidlige kariesforandringer kan ofte stanses med bedre munnhygiene, fluor og endringer i kosthold og vaner. Både NIDCR og NHS beskriver at tidlig karies kan reverseres eller stoppes før det dannes et ordentlig hull.
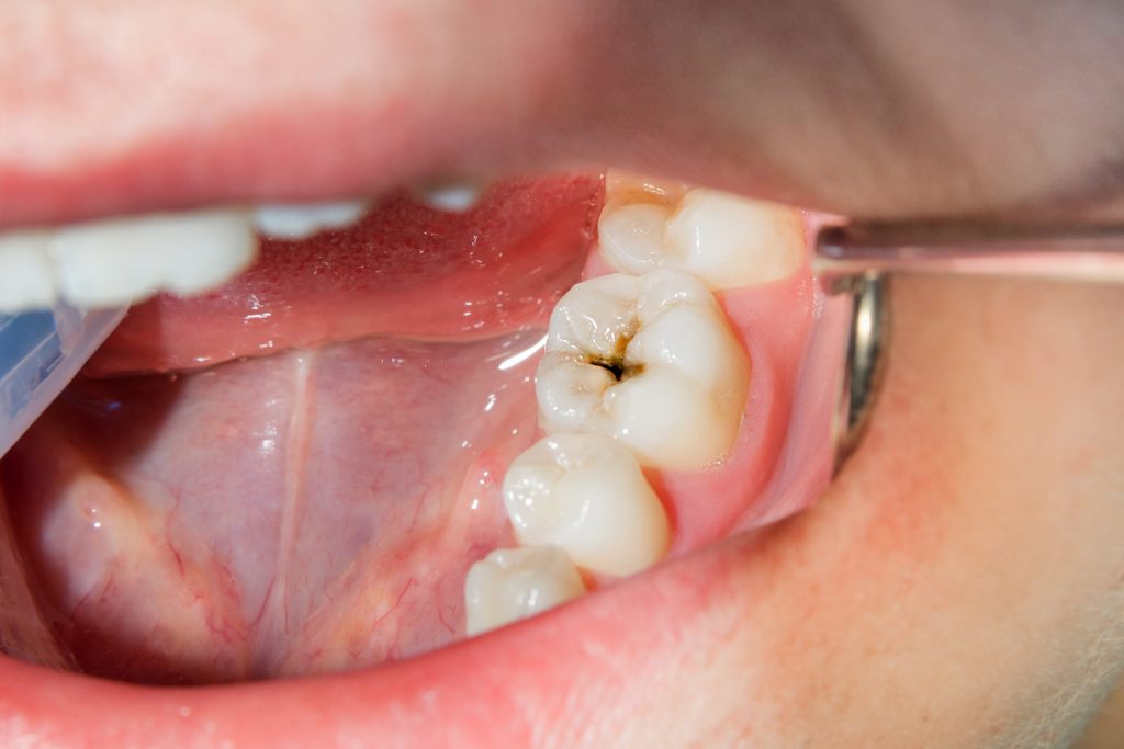
Hvis prosessen fortsetter, bryter overflaten i emaljen sammen. Da har man et hull. Når skaden går dypere inn i dentinet, øker risikoen for ising, smerter og raskere videre utvikling. Dersom karies når pulpa, altså det bløte vevet i midten av tannen, kan det gi kraftig smerte og kreve mer omfattende behandling.
Hvorfor får noen lettere hull enn andre?
Det er ikke bare mengden sukker som betyr noe, men også hvor ofte tennene utsettes for sukker og syre. WHO peker på frie sukkerarter som den viktigste kostholdsrelaterte risikofaktoren for karies, og anbefaler å holde inntaket under 10 prosent av det totale energiinntaket, og helst under 5 prosent for ytterligere risikoreduksjon. Hyppig inntak av sukkerholdig mat og drikke gjør at bakteriene får nye «runder» med syreproduksjon gjennom hele dagen.

Munnhygiene spiller også en stor rolle. Hvis plakk ikke fjernes jevnlig, får bakteriene gode forhold til å produsere syre tett inntil tannoverflaten. NIDCR anbefaler puss to ganger daglig med fluortannkrem og regelmessig rengjøring mellom tennene, mens Helsenorge skriver at noen trenger tanntråd for å fjerne bakteriebelegg der tannbørsten ikke kommer godt til.
Spytt er en viktig del av tannens naturlige forsvar. Det hjelper til med å nøytralisere syre og bidra til remineralisering. Ved munntørrhet øker kariesrisikoen, blant annet fordi denne beskyttelsen blir svakere. NIDCR beskriver at tørr munn øker risikoen for karies, og Helsedirektoratet anbefaler ekstra fluor og tiltak mot nedsatt spyttproduksjon hos munntørre pasienter.
Barn kan være særlig utsatt dersom tannpussen ikke fungerer godt nok, eller dersom de får hyppige sukkerinntak. Helsenorge anbefaler tannpuss med fluortannkrem fra første tann og at foresatte hjelper til til barnet mestrer pussingen selv, vanligvis rundt 10-årsalderen. For barn med høyere risiko kan ekstra fluor være aktuelt etter vurdering fra tannhelsepersonell.
Eldre kan også få økt risiko, spesielt hvis de bruker medisiner som gir munntørrhet eller har redusert spyttsekresjon. NIDCR peker på at tørr munn hos eldre ofte skyldes legemidler og at dette øker risikoen for karies.
Tegn og symptomer på karies
Små kariesangrep gir ofte ingen symptomer. Det er en viktig grunn til at mange går lenge uten å merke at noe er galt. Helsenorge skriver at små hull ikke gir symptomer, mens større hull kan gi ising eller tannverk. Det betyr at fravær av smerte ikke er det samme som fravær av sykdom.
Tidlige tegn kan være hvite eller matte flekker i emaljen. Når skaden blir større, kan du få ising ved kaldt, varmt eller søtt, smerter når du tygger, eller et synlig mørkere område i tannen. Hvis karies går dypt, kan det utvikle seg til sterkere smerter og senere infeksjon.
Hvordan oppdages karies?
Karies oppdages ikke alltid med det blotte øyet. Helsenorge skriver at røntgenbilder i mange tilfeller er nødvendig for å oppdage karies tidlig og vurdere hvor dypt skaden går. Det gjelder særlig hull mellom tennene, der synlig inspeksjon alene ofte ikke er nok.
Derfor er jevnlige kontroller viktige selv om du ikke kjenner smerter. Både Helsenorge og NHS anbefaler regelmessige undersøkelser fordi tidlig oppdagelse gjør behandlingen enklere og mindre omfattende.

Hvordan forebygge hull i tennene?
1. Puss tennene to ganger daglig med fluortannkrem
Dette er det viktigste enkelttiltaket. Helsenorge sier tydelig at tannpuss to ganger daglig med fluortannkrem beskytter best mot hull i tennene hos både barn og voksne. De oppgir også at tannkremen bør inneholde minst 1000 ppm fluor for mindre barn og 1450 ppm for større barn og voksne. Helsedirektoratet beskriver at det er solid dokumentasjon for at 1000–1500 ppm fluorid gir god beskyttelse mot karies, og at effekten øker med høyere fluoridkonsentrasjon innen dette området. Les mer om fluor her.
Fluor virker ved å styrke tannens ytre overflate og ved å bidra til reparasjon av tidlige skader. NIDCR beskriver fluor som et mineral som kan hindre at karies utvikler seg videre og i noen tilfeller stoppe eller reversere tidlig karies.
2. Begrens hvor ofte du spiser og drikker sukker
Det er ikke bare lørdagsgodt som teller. Mange små sukkerinntak gjennom dagen er ofte mer uheldig for tennene enn ett mer avgrenset inntak til et måltid. Helsenorge anbefaler faste måltider fordi spyttet da får tid til å nøytralisere syren mellom måltidene. WHO understreker samtidig at frie sukkerarter er den viktigste kostholdsrelaterte drivkraften bak karies.
Det praktiske rådet er enkelt: reduser småspising, begrens sukkerholdige drikker, og bruk vann som tørstedrikk. For barn er dette ekstra viktig. Helsenorge anbefaler å begrense sukkerholdig mat og drikke, unngå hyppige mellommåltider med sukker og bruke vann som tørstedrikk.
3. Rengjør også mellom tennene
Mange hull oppstår mellom tennene, der tannbørsten ofte rengjør dårligere. Helsenorge skriver at noen trenger tanntråd for å fjerne bakteriebelegg mellom tennene, og NIDCR anbefaler regelmessig rengjøring mellom tennene med tanntråd eller annet mellomromsverktøy.
Det betyr ikke at alle skal bruke samme hjelpemiddel. Noen har bedre nytte av tanntråd, andre av mellomromsbørster. Det riktige er det som faktisk fungerer i munnen din og som du bruker jevnlig.

4. Ta munntørrhet på alvor
Har du tørr munn over tid, bør dette ikke bagatelliseres. NIDCR beskriver at mangel på spytt øker risikoen for både karies og soppinfeksjoner i munnen. Helsedirektoratet anbefaler vurdering av spyttsekresjon ved mistanke om hyposalivasjon og peker på at munntørre pasienter ofte trenger ekstra fluor, for eksempel høykonsentrert fluortannkrem eller fluorskyll, etter faglig vurdering.
Dette er særlig relevant for eldre og for personer som bruker flere faste medisiner. Her bør rådene tilpasses individuelt av tannlege eller tannpleier.
5. Gå regelmessig til kontroll
Regelmessige undersøkelser gjør det mulig å oppdage karies mens skaden fortsatt er liten. Helsenorge anbefaler jevnlige undersøkelser hos tannlege eller tannpleier, og peker på at behandlingen ofte blir mer omfattende og dyrere hvis man venter til et hull har blitt stort og gir symptomer.
Ved tidlig karies kan behandlingen ofte være ikke-operativ. Helsedirektoratet anbefaler for voksne blant annet fluorlakk minst to ganger årlig på aktive karieslesjoner, og ved behov kan fissurforsegling og ekstra fluor vurderes. Det viser et viktig poeng: ikke all kariesbehandling handler om å bore. Tidlig innsats handler ofte om å stanse utviklingen før det blir et hull som må fylles.
Hva skjer hvis karies ikke behandles?
Hvis du lar karies utvikle seg videre, blir skaden som regel større. Hullet vokser, og når karies går dypere inn i tannen, kan det føre til ising, smerte og behov for fylling. Hvis skaden når pulpa, kan rotfylling bli nødvendig. I noen tilfeller må tannen trekkes.
Det er derfor tidlig forebygging og tidlig oppdagelse betyr så mye. Små forandringer i emaljen kan ofte stabiliseres. Store hull må som regel repareres.

Barn og karies
Barn kan få hull i både melketenner og permanente tenner. Helsenorge anbefaler at tannpuss med fluortannkrem starter når den første tannen bryter frem, og at foresatte hjelper til med pussingen i mange år. De anbefaler også å begrense sukker, bruke vann som tørstedrikk og være ekstra oppmerksom på hyppig nattlig sukkerinntak.
For barn med høyere kariesrisiko kan tannhelsetjenesten vurdere ekstra tiltak som fluorlakk og fissurforsegling. Helsedirektoratet beskriver dette som dokumenterte tiltak i riktige situasjoner.
Oppsummering
Hull i tennene dannes når bakterier i plakk omdanner sukker til syre, og syren bryter ned tannens mineraler over tid. Prosessen starter ofte som hvite flekker uten symptomer og kan i en tidlig fase stanses. Hvis skaden får utvikle seg, kan det bli et faktisk hull som må behandles med fylling, og i mer alvorlige tilfeller med rotfylling eller trekking.
Den beste forebyggingen er dokumentert og enkel i prinsippet: puss to ganger daglig med fluortannkrem, begrens hyppig sukkerinntak, rengjør mellom tennene ved behov, bruk vann som tørstedrikk, ta munntørrhet på alvor og møt opp til jevnlige kontroller.